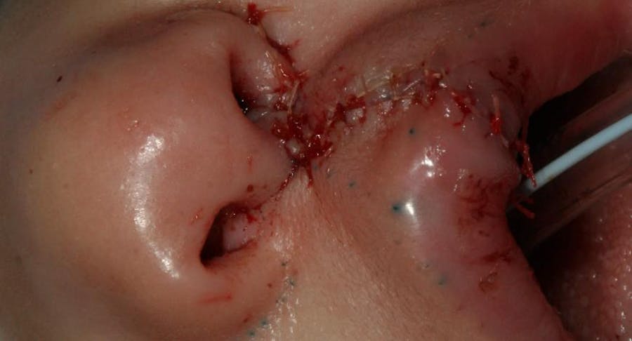
Dr. Stephen Weber's most unforgettable surgical experience was performing a cleft lip repair for a four-year-old girl. Witnessing the mother's emotional reaction as she saw her daughter's newly repaired lip for the first time left a lasting impression on him.
Weber Facial Plastic Surgery Supports Both Local and International Nonprofit Organizations
Dr. Weber is a dedicated facial plastic surgeon who volunteers with Face to Face, a nonprofit American Academy of Facial Plastic and Reconstructive Surgeons project. He also participates in annual humanitarian mission trips to East Africa and Latin America, providing cleft lip and palate repairs and burn scar treatments for indigent, medically isolated children and adults.
Recently, Dr. Weber returned from a humanitarian mission to Tanzania with Outreach International, a charity focused on providing essential services to medically isolated communities worldwide. During his two-week stay in Singida, Tanzania, Dr. Weber and his team, consisting of surgeons, anesthesiologists, nurses and non-medical volunteers, conducted 59 surgical procedures and treated over 350 patients, addressing facial deformities, traumatic injuries, burn scars and tumors.
The team's efforts were met with gratitude and appreciation, culminating in a banquet hosted by Regional Commissioner Kone. This experience reinforced the impact of dedicated medical teams in providing life-altering and life-saving care to communities in need.



















